Simplified Ridge Augmentation

Vertical ridge augmentation

A surgical procedure to increase the height of alveolar ridge which have been resorbed after tooth or teeth were lost

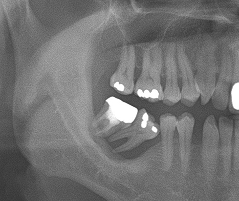
A clinical case using resorbable membrane

  • A clinical case using resorbable membrane 1
  • A clinical case using resorbable membrane 2
  • A clinical case using resorbable membrane 3

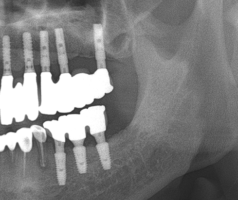
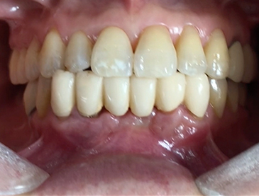
Another clinical case using non resorbable membrane and bone tac

  • Another clinical case using  non resorbable membrane and bone tac 1
  • Another clinical case using  non resorbable membrane and bone tac 2
  • Another clinical case using  non resorbable membrane and bone tac 3
  • Another clinical case using  non resorbable membrane and bone tac 4
  • Another clinical case using  non resorbable membrane and bone tac 5
  • Another clinical case using  non resorbable membrane and bone tac 6
  • Another clinical case using  non resorbable membrane and bone tac 7
  • Another clinical case using  non resorbable membrane and bone tac 8
  • Another clinical case using  non resorbable membrane and bone tac 9
  • Another clinical case using  non resorbable membrane and bone tac 10