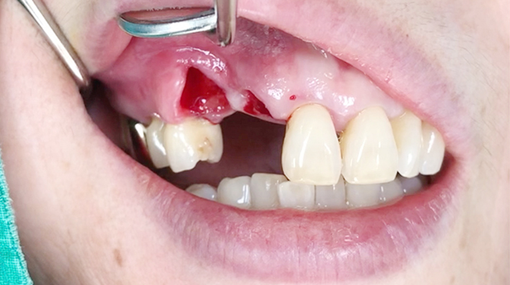
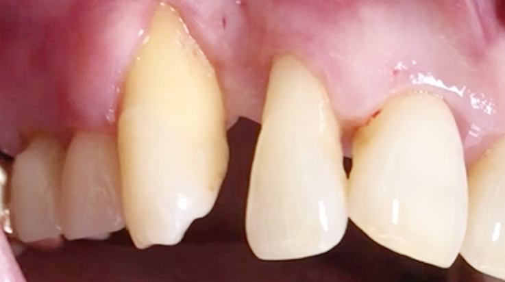
Simplified Ridge Augmentation

Horizontal ridge augmentation

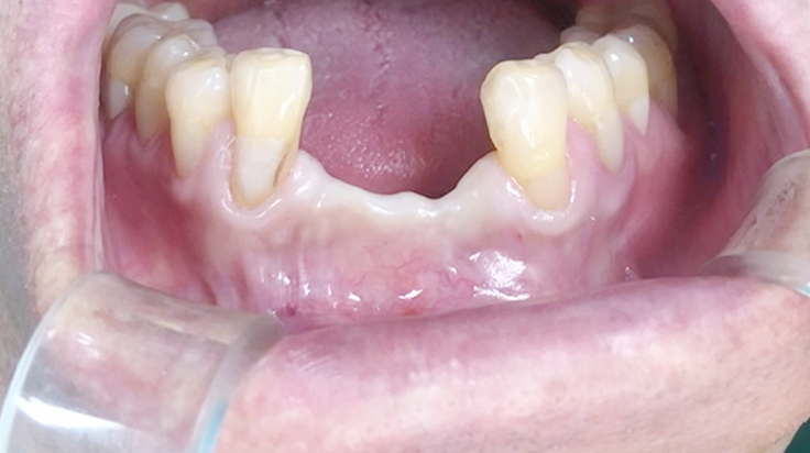
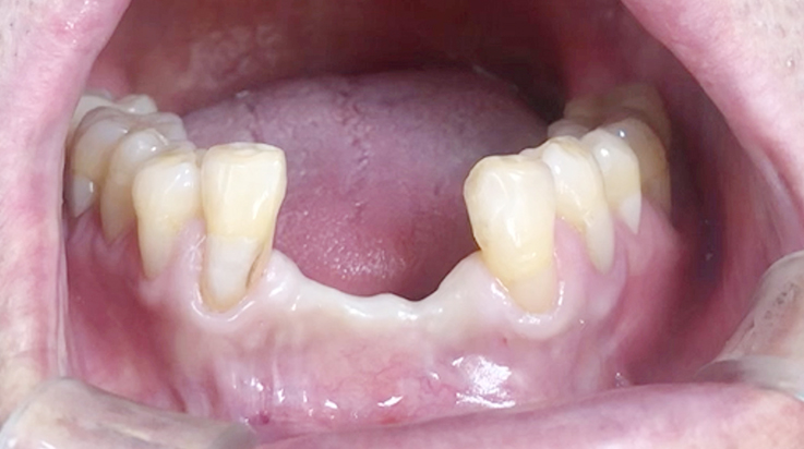
A surgical procedure to increase the width of alveolar ridge which have been resorbed after tooth or teeth were lost

A surgical procedure using resorbable membrane

  • A surgical procedure using resorbable membrane 1
  • A surgical procedure using resorbable membrane 2
  • A surgical procedure using resorbable membrane 3
  • A surgical procedure using resorbable membrane 3
  • A surgical procedure using resorbable membrane 5
  • A surgical procedure using resorbable membrane 6

A surgical procedure using non resorbable membrane

  • A surgical procedure using non resorbable membrane 1
  • A surgical procedure using non resorbable membrane 2
  • A surgical procedure using non resorbable membrane 3
  • A surgical procedure using non resorbable membrane 4
  • A surgical procedure using non resorbable membrane 5
  • A surgical procedure using non resorbable membrane 6
  • A surgical procedure using non resorbable membrane 7