Periodontal Plastic Sugery
Gingival phenotype modification
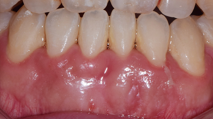
Clinical procedure increasing thickness of gingiva with soft tissue graft and collagen matrix
Clinical procedure increasing thickness of gingiva with soft tissue graft and collagen matrix