Preprosthetic Surgery

Crown lengthening (Anterior teeth)

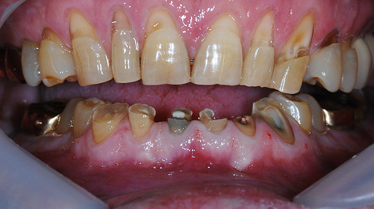
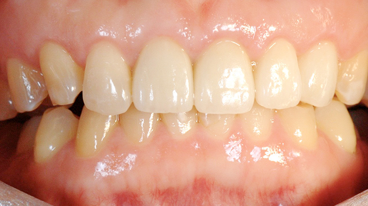
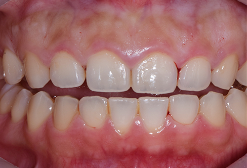
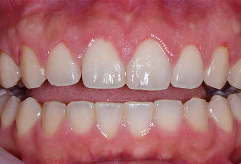
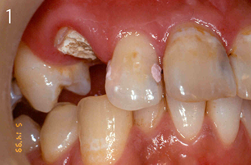
A Clinical procedure increasing crown height for facilitating fabrication of a prosthesis or improving the prognosis of prosthodontic care

  • Forced Eruption 1
  • Forced Eruption 2
  • Forced Eruption 3
  • Forced Eruption 4
  • Forced Eruption 5
  • Forced Eruption 6

  • Forced Eruption 7
  • Forced Eruption 8
  • Forced Eruption 9
  • Forced Eruption 10
  • Forced Eruption 11
  • Forced Eruption 12
  • Forced Eruption 13