Periodontal Plastic Sugery

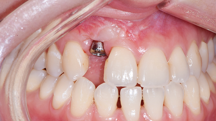
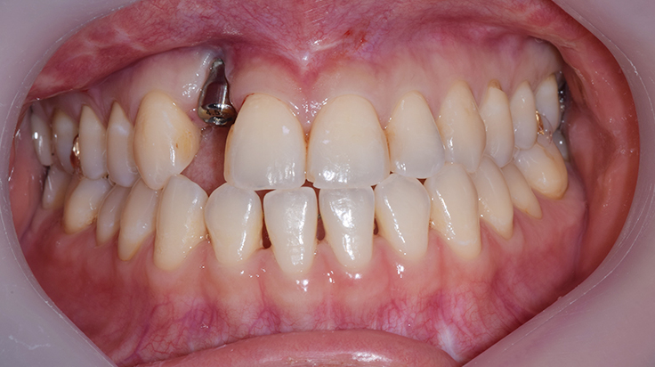
Coverage of exposed implant surface

Clinical procedure covering exposed implant surface (abutment or fixture) with soft tissue graft and collagen matrix

  • Coverage of exposed implant surface 1
  • Coverage of exposed implant surface 2

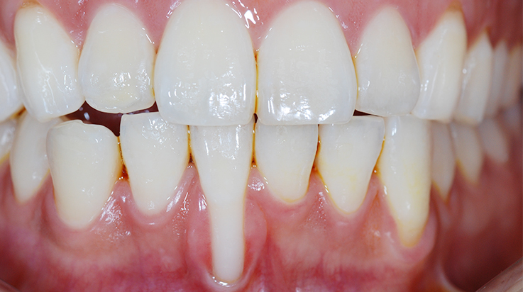
Coverage of denuded root surface

Clinical procedure covering denuded root surface with soft tissue graft and collagen matrix

  • Coverage of denuded root surface 1
  • Coverage of denuded root surface 2