Login
모바일 메뉴 열기
Dr.Kim
Meet Sungtae Kim DDS, Ph.D
Biography
Advanced education
Presentations
Publications
Dr.Cho
Meet Dr. Cho in CK institute
Biography
Education and training
Professional experiences
Publications, patents, and books
National research grant
Awards and honors
Members in Ck
Faculty members
Alumni faculty members
Clinical research team
Basic research team
Research coordinator
Collaboration professor
Periodontal Plastic Surgery
Gingival phenotype modification
Coverage of exposed implant surface
Course
Contact
Simplified Ridge Augmentation
Horizontal ridge augmentation
Vertical ridge augmentation
Course
Contact
Preprosthetic Surgery
Crown lengthening (Anterior teeth)
Crown lengthening (Posterior teeth)
Alveoloplasty
Exostosis and torus reduction
Vestibuloplasty
Course
Contact
Impants/Bone Grafting
Overview of implant placement
Simultaenous bone grafting for implants
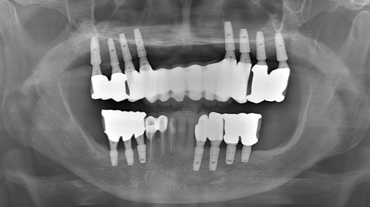
Partial edentulous clinical cases
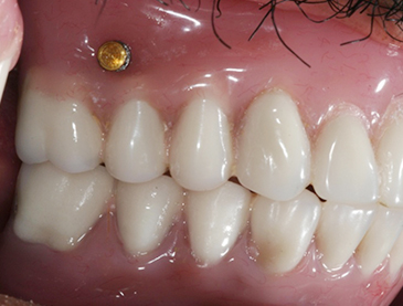
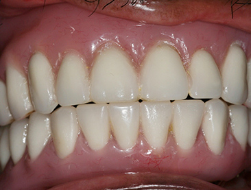
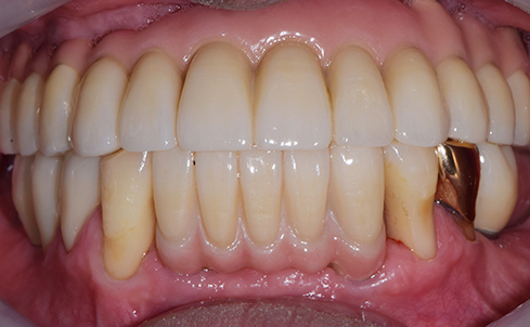
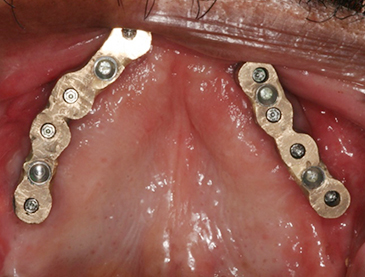
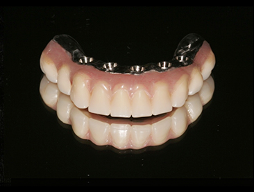
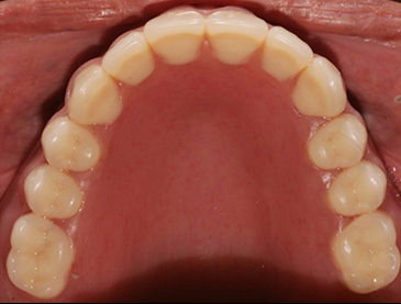
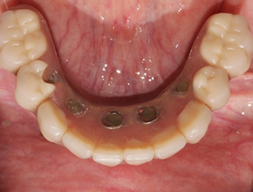
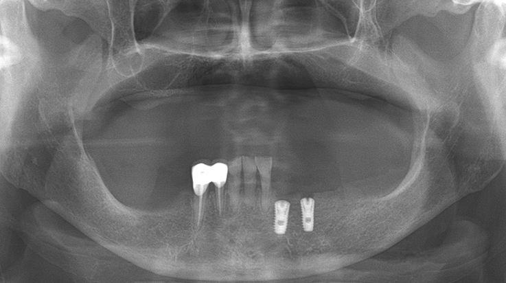
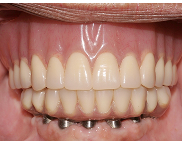
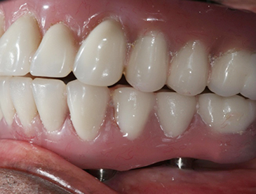
Fully edentulous clinical cases
Basic Research
Scientific evidence supporting clinical procedures
In vitro study
In vivo study
In silico study
Course
Contact
Regular Course
Essential advanced periodontal/implant therapy
Practical advanced periodontal/implant therapy
Hands-on course
Upcoming Course
Upcoming course
Home
Essential Advanced Course
Practical Advanced Course
Hands-on Course
Upcoming Course
Dr.Kim
Meet Sungtae Kim DDS, Ph.D
Biography
Advanced education
Presentations
Publications
Dr.Cho
Meet Dr. Cho in CK institute
Biography
Education and training
Professional experiences
Publications, patents, and books
National research grant
Awards and honors
Members in Ck
Faculty members
Alumni faculty members
Clinical research team
Basic research team
Research coordinator
Collaboration professor
Periodontal Plastic Surgery
Gingival phenotype modification
Coverage of exposed implant surface
Course
Contact
Simplified Ridge Augmentation
Horizontal ridge augmentation
Vertical ridge augmentation
Course
Contact
Preprosthetic Surgery
Crown lengthening (Anterior teeth)
Crown lengthening (Posterior teeth)
Alveoloplasty
Exostosis and torus reduction
Vestibuloplasty
Course
Contact
Impants/Bone Grafting
Overview of implant placement
Simultaenous bone grafting for implants
Partial edentulous clinical cases
Fully edentulous clinical cases
Basic Research
Scientific evidence supporting clinical procedures
In vitro study
In vivo study
In silico study
Course
Contact
Regular course
Essential advanced periodontal/implant therapy
Practical advanced periodontal/implant therapy
Hands-on Course
Basic Research
Upcoming course
Essential Advanced Course
Practical Advanced Course
Hands-on Course
Upcoming Course
Implants/Bone Grafting
Fully edentulous clinical cases